Consultorio: (442) 295-57-61
L - V: 10:00 - 14:00 hrs. y 16:00 - 20:00 hrs. Sábado: Previa cita
Cerrar
L - V: 10:00 - 14:00 hrs. y 16:00 - 20:00 hrs.

Nuestros Servicios

Respuesta inmediata en Emergencias

Endodoncia

Salva los dientes que de otra manera tendrían que ser extraidos

Implantes Dentales

Estructura de titanio en forma de raíz, que permite el remplazo de una o varias piezas

Carillas

Son restauraciones que requieren de un mínimo desgaste dental para obtener un resultado estético.

Coronas

Se realiza por medio de un escaneo computarizado que lo hace inmejorable

Blanqueamientos

Tratamientos para blanquear los dientes

Ortodoncia

Corrige las anomalías de la posición de las piezas dentarias.

Al ponerte en nuestras manos, encontraras:

  • Honestidad
  • Calidad y Servicio al Mejor Precio
  • Puntualidad en la Atención
  • La Más Alta Tecnlogía
Más sobre nosotros

Respuesta inmediata en Emergencias

Marca al celular 442 226-43-99 para agendar una cita.

La Endodoncia es una técnica especializada de la Odontología que popularmente se conoce como “Tratamiento del nervio” y que se realiza en lugar de la extracción dental. Se puede decir que la Endodoncia salva los dientes que de otra manera tendrían que ser extraídos. Su mayor ventaja es que permite conservar las piezas dentales naturales. Cuando se enferma por alguna infección o por algún golpe generalmente reacciona con dolor e inflamación. Si la lesión es tan fuerte que no puede repararse, la pulpa muere. Las principales lesiones, son las caries, golpes y agrietamiento de los dientes. Esto permite que entren microbios que pueden causar una infección que, a su vez, produce pus y gas. Si no se trata, el pus y el gas se acumula afectando el hueso del maxilar o mandíbula, a esto se le llama absceso.

El tratamiento de conductos (Endodoncia ), abarca tres faces que son:

1. Eliminación del nervio enfermo
2. Limpieza del conducto
3. Sellado del conducto
Al eliminar el nervio, el conducto que lo contenía queda vacío; es entonces cuando la limpieza y el sellado de dicho conducto son indispensables para lograr una curación total definitiva. Después del tratamiento de conductos, el diente queda frágil, por lo que es recomendable realizar una restauración final para protegerlo de fracturas o de reinfecciones.

En la actualidad existen distintos tipos de implantes dentales entre los que el odontólogo o el cirujano dentista especializado puede elegir según las necesidades del paciente. En esta Clínica Dental Especializada trabajamos con diversas marcas y tipos de implantes dentales para ofrecerle la mejor opción.

Cuando falta un solo diente:
Si necesita reemplazar un solo diente, el implante dental reemplaza este diente y mantiene los dientes vecinos.

Cuando faltan pocos dientes:
Gracias a los implantes dentales se pueden insertar prótesis fijas sin perjudicar los dientes adyacentes. De esta manera, se obtiene una estética fascinante.

Cuando faltan todos los dientes:
En este caso, se pueden colocar 6 – 10 implantes dentales en los maxilares en los cuales se pone una prótesis total fija, eliminando las molestias de las prótesis totales removibles (placas totales)

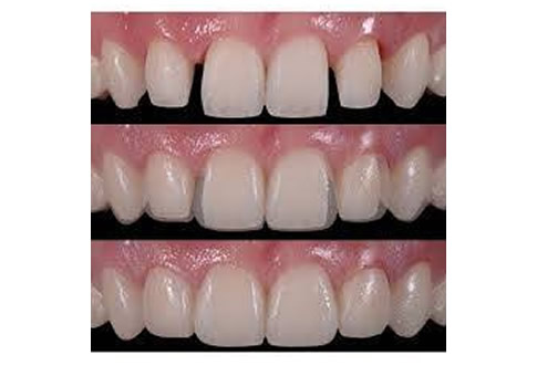
Las carillas de porcelana son restauraciones que requieren de un mínimo desgaste dental para obtener un enorme resultado estético. Si quiere lucir una sonrisa perfecta las carillas son ideales para corregir malas posiciones dentales (dientes chuecos), corregir manchas o pigmentaciones dentales y dientes destruidos por fracturas.

En la actualidad han surgido nuevos materiales dentales como los on el zirconio y la alúmina, que nos permiten obtener las ventajas del material en cuanto a la dureza y resistencia, pero con enorme ventaja de ser de color del diente, lo que mejora considerablemente la estética.

El sellado de las restauraciones es una característica muy importante ya que está directamente relacionado con el tiempo de vida de éstas. En el caso de las coronas y puentes libres de metal el sellado se realiza por medio de un escaneo computarizado, lo que hace que éste sea inmejorable aumentando así considerablemente el tiempo de vida de sus restauraciones.

El blanqueamiento dental se puede realizar en consultorio o en el hogar, aunque no es posible comprar los mismos tratamientos para uso personal. Sin embargo, algunos odontólogos alertan sobre el posible daño a las piezas dentales si se utilizan éstos en alta concentración sin la prescripción ni el seguimiento de un odontólogo.

El blanqueamiento de los dientes permite eliminar la mayoría de las manchas producidas por causas extrínsecas como el té, café y otras infusiones, cigarrillos y vino tinto, entre otras sustancias y alimentos. Sin embargo, no todas las manchas u oscurecimientos dentales son eliminables o mejorables a través del blanqueamiento dental y pueden requerir de otro tipo de tratamientos odontológicos estéticos como el uso de carillas de porcelana o coronas.

La ortodoncia es una especialidad de la odontología que se encarga de todo el estudio, prevención, diagnóstico y tratamiento de las anomalías de la posición de las piezas dentarias así como de su oclusión, para tener una función adecuada incluyendo una buena estética.

- Mejores resultados en menor tiempo
- Hermosas sonrisas
- Sistema de Autoligado
- Ortodoncia digital: Brackets personalizados
- Invisalign (Ortodoncia Invisible)